Traga conforto e harmonia para sua face com o Dr. Júlio Estrela
Dores intensas na mandíbula, dificuldade para abrir ou fechar a boca e estalos dolorosos ao mastigar podem ser sinais de Disfunção Temporomandibular (DTM). Essa condição afeta a articulação da mandíbula, podendo levar a limitação dos movimentos, travamento articular e até impactos na mordida.
Você sente dificuldade para morder, falar ou até mesmo respirar corretamente? A Cirurgia Ortognática pode ser a solução! Esse procedimento corrige alterações ósseas no maxilar e mandíbula, melhorando a função mastigatória, a harmonia facial e a qualidade de vida.
Desconforto na região da mandíbula, bochechas, têmporas ou ouvidos, podendo estar ligado à ATM ou ao desalinhamento ósseo.
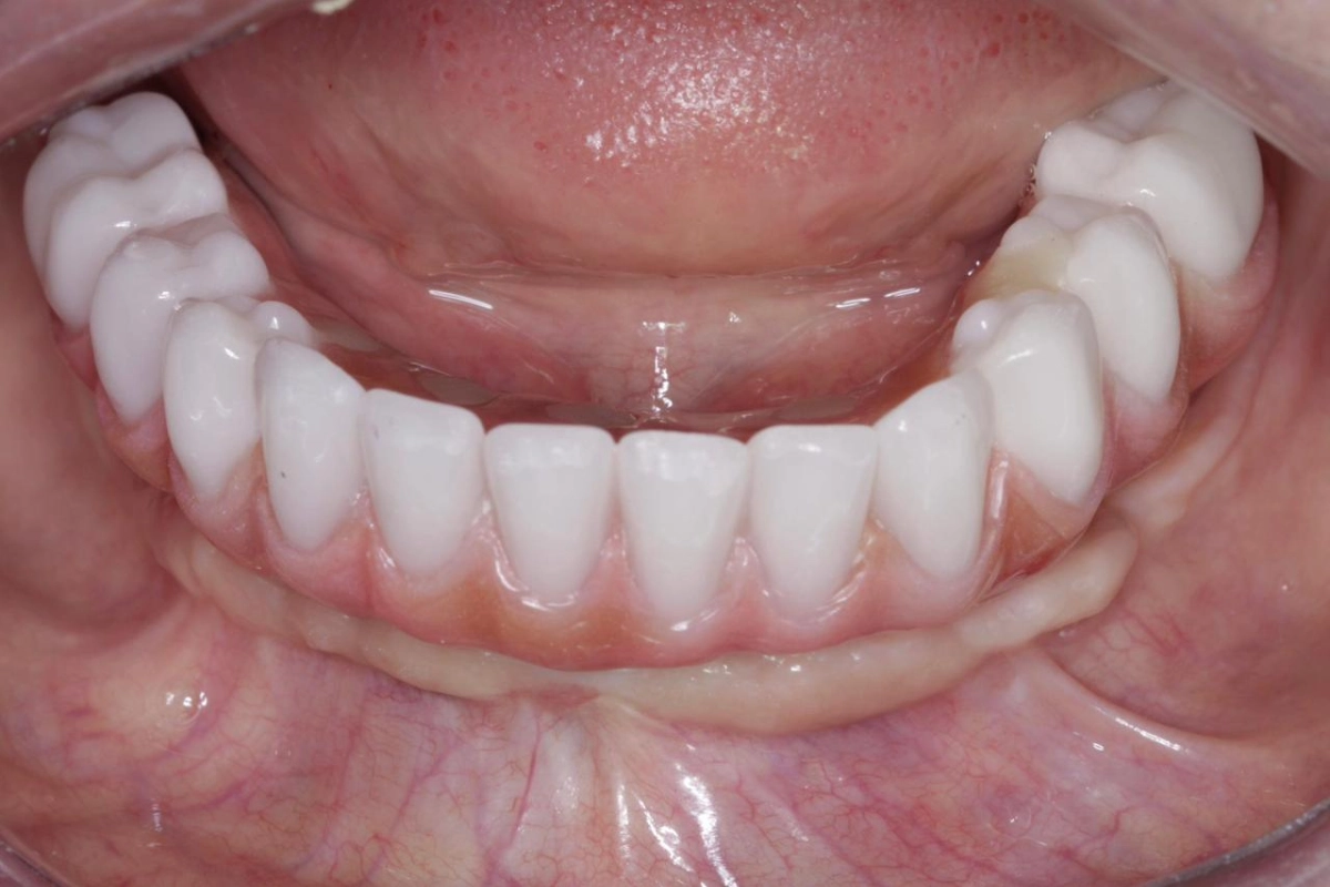
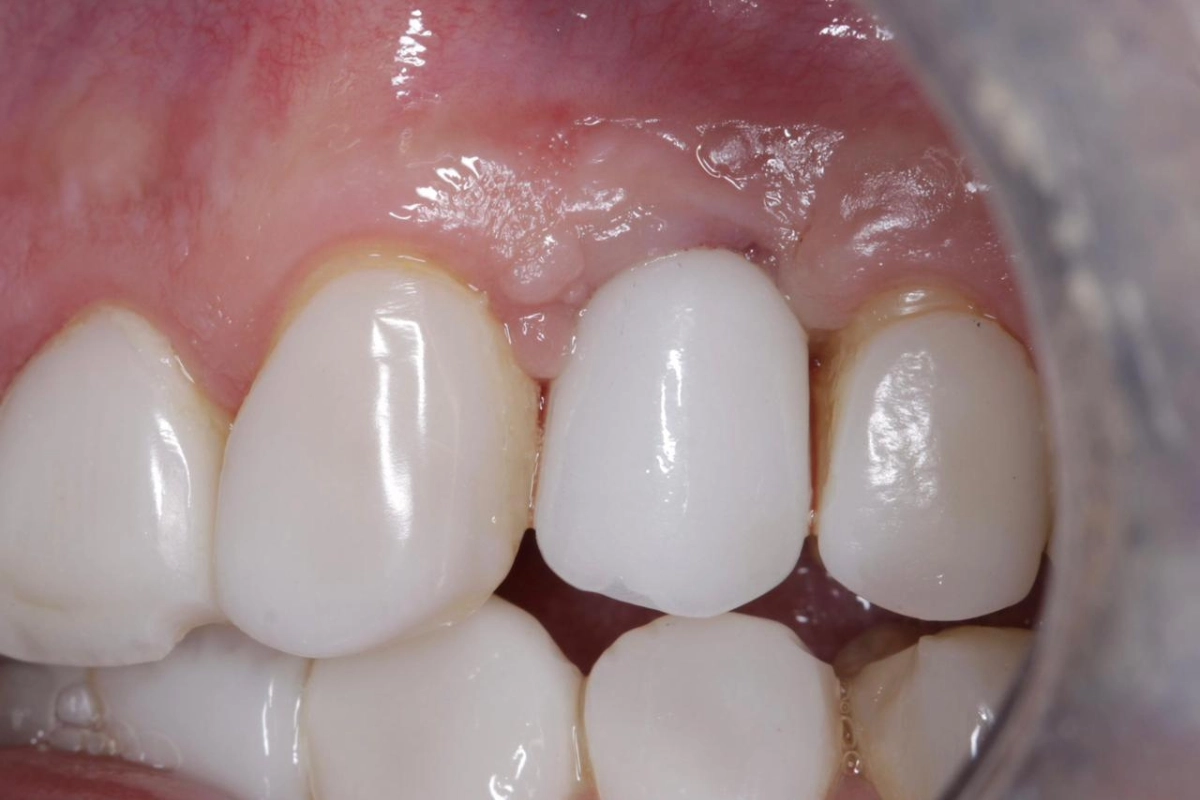
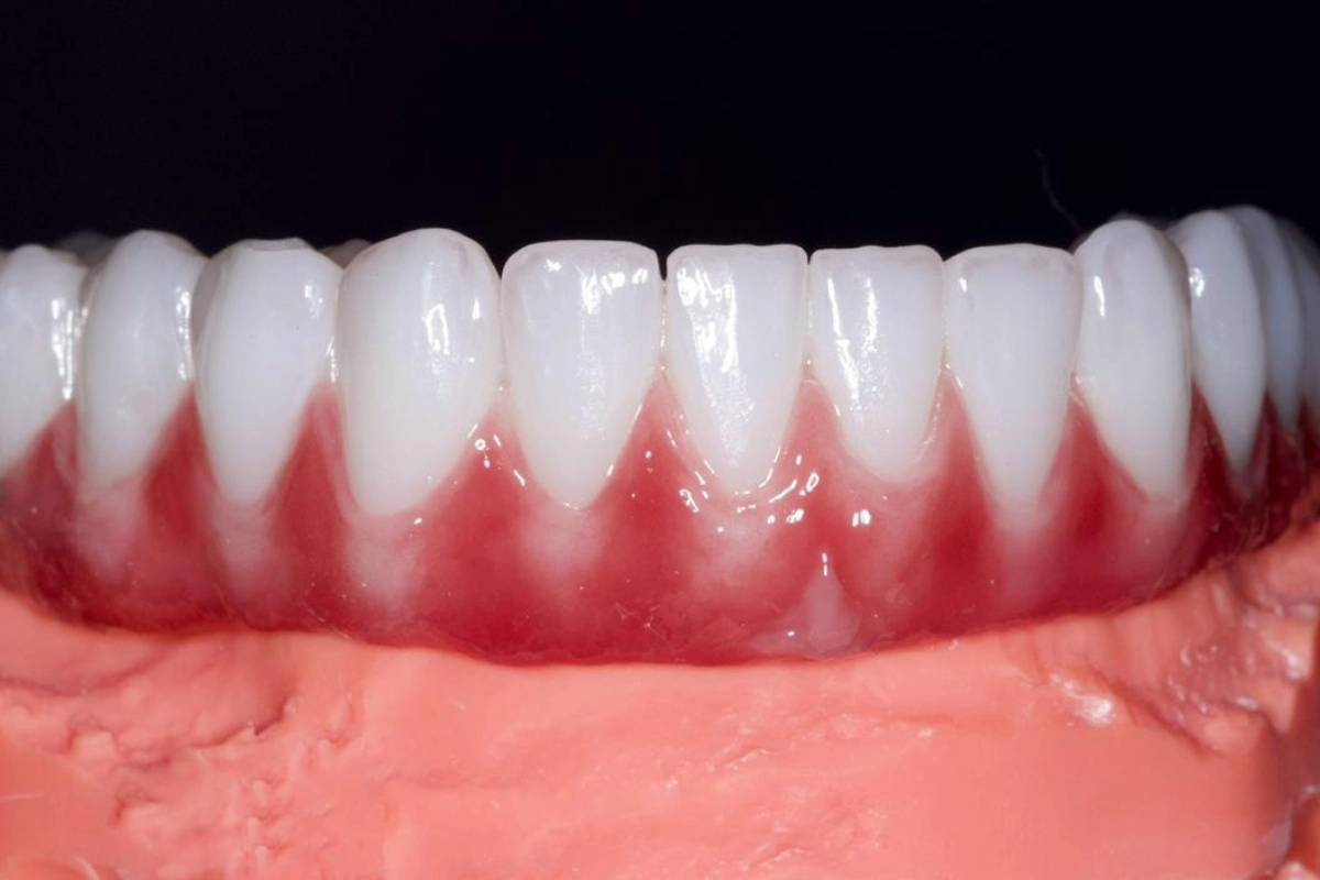
Mandíbula muito projetada, retraída ou mordida cruzada podem afetar a harmonia facial e prejudicar a mastigação.
Quando a posição dos maxilares compromete a mastigação eficiente e pode até interferir na dicção.
Estalos, cliques e crepitações ao abrir ou fechar a boca, sinalizando alterações na articulação temporomandibular.
Dificuldade para abrir completamente a boca, bocejar ou falar, muitas vezes acompanhada de dor ou tensão.
Cefaleias que podem ser reflexo de tensão na musculatura facial ou desalinhamentos na ATM.
Ronco e apneia do sono podem ter relação com o posicionamento inadequado da mandíbula e maxila.
Apertar ou ranger os dentes, gerando desgaste, dores musculares e estresse na articulação da mandíbula.













Dr. Júlio Estrela é Cirurgião Bucomaxilofacial pelo HULW/UFPB, com sólida formação acadêmica e atuação consolidada na área cirúrgica e reabilitadora. É Implantodontista pelo IOA – Campina Grande, com ampla experiência clínica em Implantodontia avançada e protocolos regenerativos com L-PRF, técnica que potencializa a cicatrização e os resultados cirúrgicos. Atua também no Diagnóstico e Tratamento da Disfunção Temporomandibular (DTM), com ênfase em Artroscopia de ATM, oferecendo abordagem moderna e minimamente invasiva. Além da prática clínica, é Professor das Especializações em Implantodontia do IOA – João Pessoa e IOA – Campina Grande, contribuindo ativamente para a formação de novos especialistas e reforçando sua autoridade científica e técnica na Cirurgia e Traumatologia Bucomaxilofacial.
100% de avaliações positivas
Não, nem todas as pessoas são candidatas para a cirurgia ortognática. A indicação depende de uma avaliação criteriosa, que levará em conta fatores como o grau de desarmonia óssea, idade, saúde geral do paciente, estabilidade emocional e cooperação com o plano de tratamento. Além disso, é essencial que o crescimento ósseo da face esteja completo, o que geralmente ocorre após os 18-21 anos, dependendo do gênero.
Sim. Eles são usados antes da cirurgia para garantir o melhor encaixe durante a cirurgia e durante algum tempo pós cirurgia para otimizar o ajuste final da dentição.
Etapa I: avaliação (ortodontista + cirurgião)
Etapa II: preparação (ortodontia)
Etava III: Planejamento virtual para maior precisão e previsibilidade
Etapa IV: cirurgia
Etapa V: acompanhamento pós-operatório
Os problemas mais crônicos são os relacionados as dores da mandíbula/maxilo fora de encaixe, no entanto, há também as inúmeras dificuldades respiratórias que prejudicam as atividades rotineiras dos pacientes, incluindo o sono.
Há também os prejuízos funcionais (nem sempre associados a dor), comprometimento social e por fim as dores relacionadas a insatisfação estética do paciente.
Avenida João Cirilo da Silva, 981, sala 56, 2° andar – Altiplano Cabo Branco, João Pessoa – PB, 58046-005